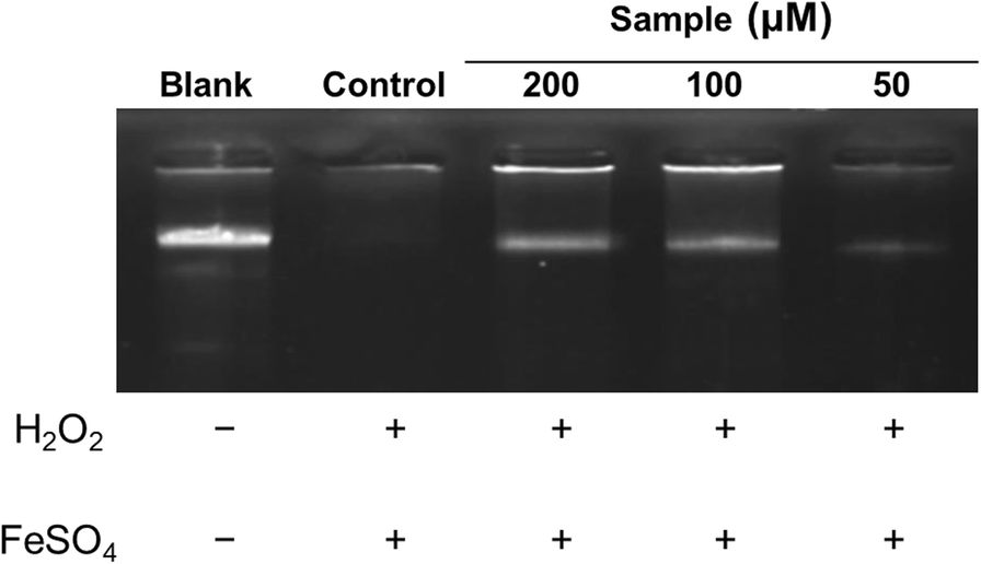
Fig. 4

Protective effect on oxidation-induced DNA damage of purified peptide from black eelpout at various concentrations. Blank: untreated sample and H2O2, FeSO4. Control: distilled water instead of sample. Sample: Treated sample, H2O2, and FeSO4. (+, treatment; −, not treatment)